Buckeye Lake Dental
Cosmetic Dentistry
Discover Your Smile and Your Confidence

If you are here, you are probably embarrassed by your smile. We’ve helped many people from the Buckeye Lake area and beyond get their smile back so they can smile with confidence — at work, with friends, family, when dating – everywhere!

Cosmetic Dentistry | Dentist
We Warmly Welcome New Patients to Our Practice
Contact Us

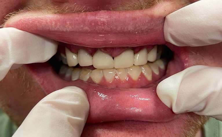
Do You Have Broken or Missing Teeth in Your Smile?

We understand how embarrassing it can be to have missing or broken teeth that show when you smile. Maybe you’re self-conscious when you speak, smile, or laugh. Many of my patients would do anything to be able to chew on a steak, bite an apple, or eat their favorite foods again.

The good news is: You can have a mouth full of teeth that look and feel natural. We’ve helped many patients overcome the embarrassment of having missing or broken teeth with dental implants.

Dental implant crowns look just like your natural teeth – nobody will even know you had the procedure done! And the implant could last a lifetime when properly maintained with adequate brushing and flossing.

That means you can enjoy the rest of your life without feeling embarrassed that you have missing or broken teeth!

Meet Our Dentist:

Colin J. Golian DDS

Meet Dr. Golian! A proud graduate of The Ohio State University, Dr. Golian was inspired to be a dentist by watching his grandfather, Dr. Larry Nash, make a difference in patients' lives. Before attending dental school, Dr. Golian served in the US Army and was stationed at Fort Wainwright, Alaska, where he developed a strong sense of dedication and selfless service.

Passionate about creating lasting relationships, Dr. Golian loves getting to know each of his patients personally. When he's not crafting beautiful smiles, Dr. Golian is an avid volunteer in the ...

Do You Have Worn or Mismatched Teeth & Crowns?

Have you noticed that your teeth have started to wear down over time? Have you received years of single tooth dental treatment that resulted in mismatched crowns and teeth?
Dr. Golian will provide a full analysis of your smile aesthetics and bite, ensuring a perfect fit. Using carefully designed crowns and veneers, he Guarantees that you will LOVE your new smile.

Did you know that carefully designed crowns & veneers:

  • Stay white! They don’t change color over time with coffee or wine
  • Correct crooked, spaced, or chipped and broken teeth
  • Correct bite issues that have caused wear (and prevent further wear)
  • Look incredible! See for yourself!

If you want your smile and confidence back, a Full Smile Makeover with crowns and veneers is the most natural and convenient solution we have today in dentistry. We also provide a “Trial Smile” period where you get to try on your new teeth to see how they look and feel before the final crowns are designed!

Cosmetic Dentistry Technology

Digital Impressions

No more goopy trays in your mouth! With new 3D intraoral scanning technology, Dr. Golian has been able to eliminate the need for impression trays and putty material. Not only does this technology make your procedure much more comfortable, but it also increases the accuracy and fit of crowns, dentures, whitening trays, and more. It’s amazing technology — you’ve got to experience it to believe it!

Are You Ready to Discover Your Smile?
Contact Us
If you have difficulty using our website, please email us or call us at (740) 527-8989
View the ADA Accessibility Statement