Buckeye Lake Dental
Colin J. Golian
Request an Appointment
Like us on Facebook
(740) 527-8989
Buckeye Lake Dental
5097 Walnut Road
Buckeye Lake, OH 43008
Patient Portal
Home
About
Our Team
Our Guarantee
Technology
Practice Photos
Our Solutions
View All
Emergency Dental Care
Cosmetic Dentistry
Sedation Dentistry
Family Dentistry
Dental Implants
Smile Gallery
Patient Info
View Patient Info
Reviews
Financial Info
FAQs
Contact Us
Buckeye Lake Dental
>
Smile Gallery
>
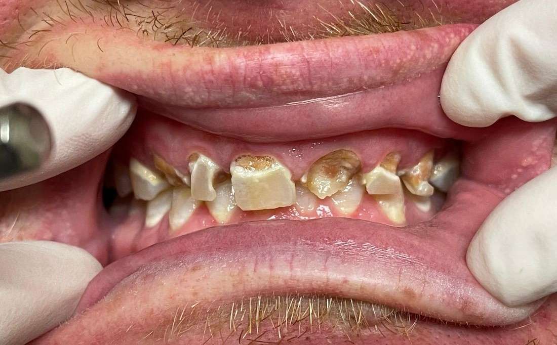
Crowns on top front teeth
Crowns on top front teeth
Return to Smile Gallery
Next
Related Services:
Cosmetic Dentistry
Service Performed By:
Colin J. Golian
Drag the arrows back and forth to view complete Before and After views
Not finding what you need?
Contact Us
If you have difficulty using our website, please
email us
or call us at
(740) 527-8989
View the
ADA Accessibility Statement
Turn on ADA Views
Privacy Policy
OK!
×
×
Contact Us Today
Give Us A Call
Buckeye Lake Dental -
(740) 527-8989
Send Us an Email
Request an Appointment
Contact Us
Ready to Schedule an Appointment?
Book Online
Provide us with your info and we will reach back out to you!
Required Field
Your Name:
Call or Text:
Email:
Are you a new patient?:
Are you a?
New Patient
Current Patient
How would you like us to contact you?
Please choose
Email
Call
How did you hear about us?
Please choose
I'm an existing patient
Google/Bing
Mailer
Word of mouth
Social media
Other
Who Referred You?:
Appointment Preferences
Monday
Tuesday
Wednesday
Thursday
Friday
Your Message:
This site is protected by reCAPTCHA and the Google
Privacy Policy
and
Terms of Service
apply.
Sending...
×
This Patient's Experience
Loading Testimonial...
Loading Case...